Дорогие пациенты! Поздравляем Вас с наступающими праздниками и ждем в гости 🎄

Самошкина Наталья Олеговна

врачебный стаж с 2015 года
более 2 850 пациентов
Врач стоматолог-ортодонт, ведущий специалист по элайнерам, клинический специалист компании flexiligner
записаться на приём
Профессиональные навыки
  • Лечение зубочелюстных аномалий у детей с помощью несъемных и съемных аппаратов, трейнеров.
  • Протезирование в случае раннего удаления временных зубов и контроль правильного формирования прикуса.
  • Применение современных брекет- систем у взрослых. Планирование лечения с учетом данных рентгенограмм, КЛКТ.
Специализация доктора:
  • раннее ортодонтическое лечение,
  • комплексный подход к ортодонтическому лечению пациентов:
  • восстановление функции и эстетики.
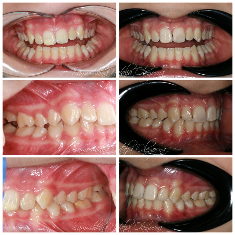
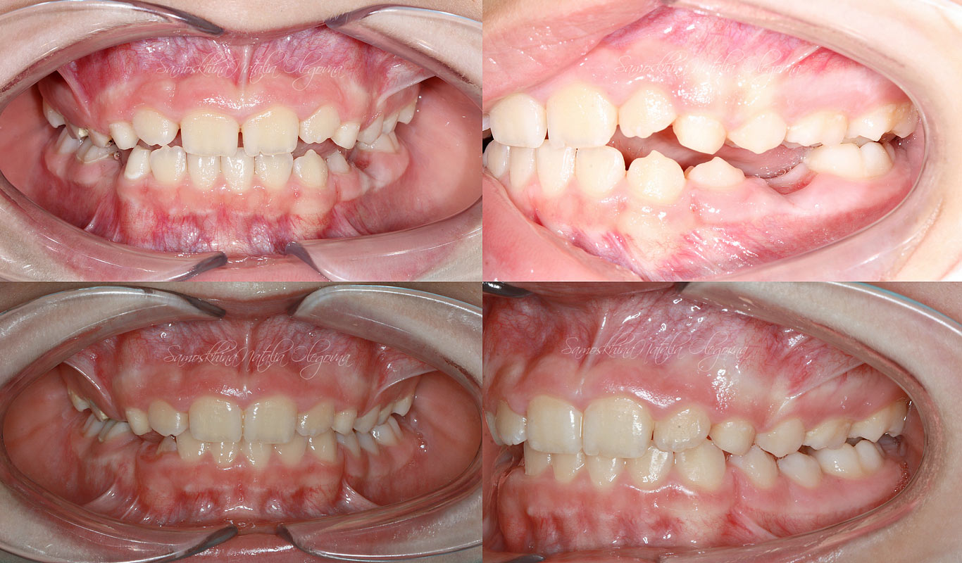
Работы врача
Дипломы и сертификаты