Айрапетян Рузан Рубеновна

врачебный стаж с 2014 года
более 2 850 пациентов
Врач стоматолог детского возраста,
ведущий специалист по восстановлению молочных зубов коронками и лечению под наркозом.
Главный врач клиники
записаться на приём
Профессиональные навыки
  • Стаж работы более 11 лет, Более 750 довольных пациентов только за 2018 год. Проводит лечение в наркозе. Обладает большим опытом в работе с детьми от 0 до 18 лет. В кабинете доктора ребенок будет окружен вниманием и заботой.
  • В кресле доктора можно попробовать клубничное варенье, а волшебной палочкой он удалит всех червячков и малыш не проронит ни одной слезинки, поскольку будет сделана «невидимая» для ребенка анестезия.
  • Специалист высокого уровня, Внимательное отношение и индивидуальный подход к каждому маленькому пациенту. Умеет успешно устанавливать контакт с детьми с негативным стоматологическим опытом, к ней часто приходят по рекомендации именно с такими проблемами.
  • Успешно лечит детей в условиях общего наркоза . Доктор постоянно посещает обучающие семинары и конференции по повышению квалификации
  • Прием проводит с составлением индивидуальных программ профилактики и планов лечения любой сложности. Первоочередной задачей ставит выработать у ребёнка положительное отношение к стоматологии
Личные качества
  • Находит подход даже к самым маленьким пациентам. На приеме доктор осуществляет лечение в игровой форме, для того, чтобы у ребенка остались положительные эмоции после приема.
  • Доктор занимается всеми видами детской стоматологии, лечение молочных и постоянных зубов, удаление, адаптационная чистка и обучение гигиене самых маленьких. Побывав на приеме, ваш ребенок больше не будет бояться стоматолога!
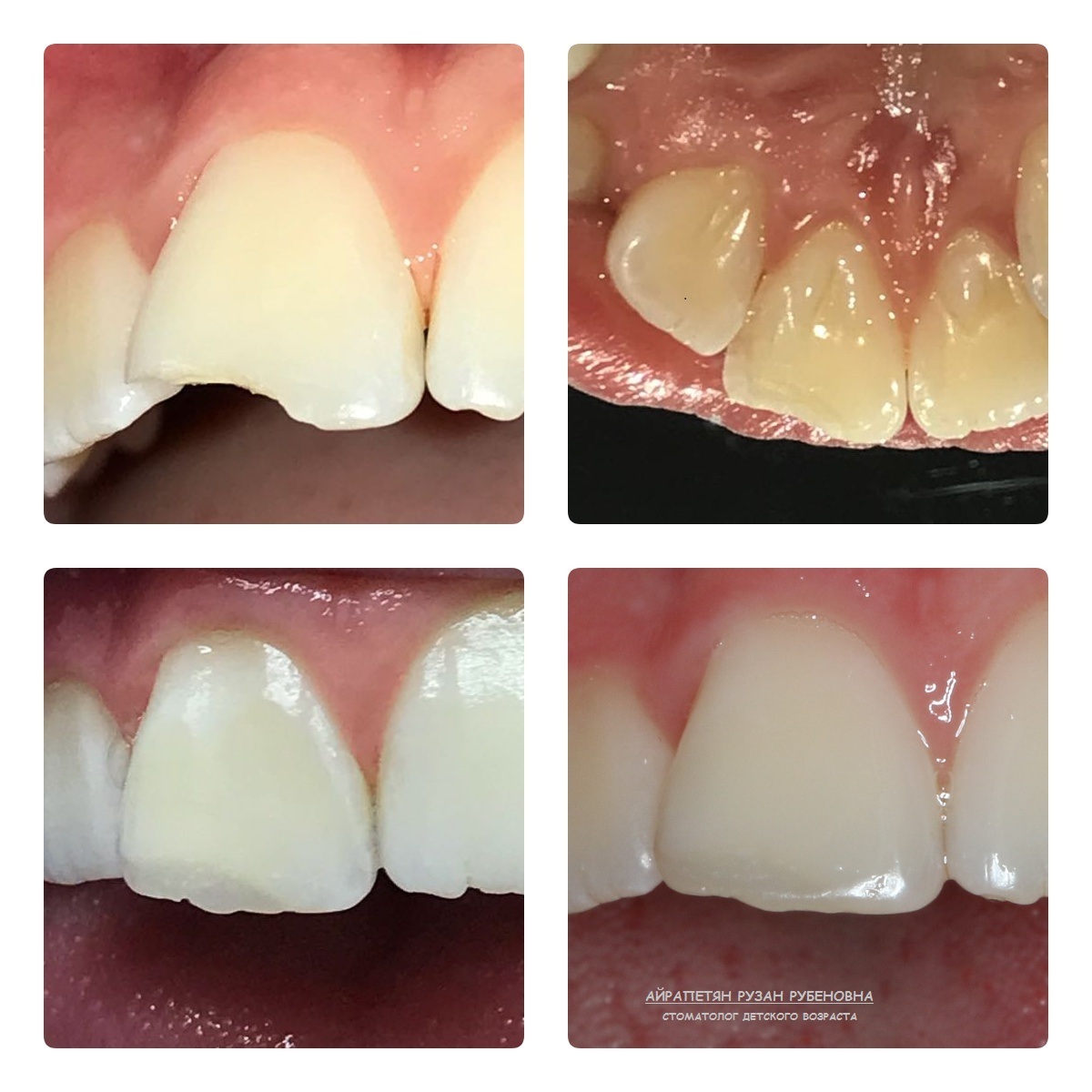
Работы врача
Дипломы и сертификаты