Дорогие пациенты! Поздравляем Вас с наступающими праздниками и ждем в гости 🎄

Шахруян (Аржаева) Кристина Дмитриевна

врачебный стаж с 2020 года
более 2 850 пациентов
Врач стоматолог-ортодонт
записаться на приём
Профессиональные навыки
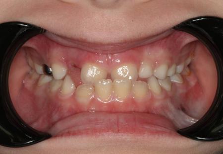
  • Работа со съемными и несъемными аппаратами для детей (расширение челюстей, исправление положения зубов, исправление прикуса, профилактика аномалий прикуса, удержание места кольцом-распоркой);
  • лечение аномалий прикуса и положений зубов на брекет-системе (металлической и эстетической) подростков и взрослых;
  • лечение детей на частичной брекет-системе;
  • лечение детей с использованием мио-функциональных аппаратов, лицевой маски.
Работы врача
Дипломы и сертификаты